Господа, будьте ко мне толерантнее
Толерантность в социологии (от лат. tolerantia — терпение) — терпимость к чужому образу жизни, поведению, обычаям, чувствам, мнениям, идеям, верованиям.
Меня, намедни, администрация сайта «поставила в угол» - за оскрбление кого-то в комментариях. Господа, прошу Вас, будьте ко мне толерантнее. Вообще, народ стал в последнее время какой-то чёрствый. Обзовешь – обижаются. В морду плюнешь – драться лезут. Ну, нельзя же так. Что мы – жириновские, что ли?
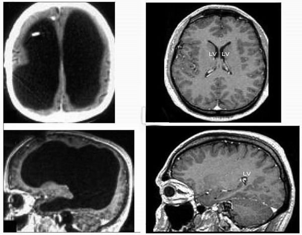
Совсем недавно, в июле 2007 года, в авторитетнейшем медицинском научном журнале «Lancet» была опубликована небольшая статья «Мозг клерка». В ней рассказывалось о поразительном случае гидроцефалии у французского клерка. Этот человек обратился в госпиталь Марселя с жалобами на слабость левой ноги, однако, когда ему сделали томографию мозга, то врачи, увидевшие снимки, были шокированы. Оказалось, что у этого мужика почти три четверти головного мозга отсутствовали. А он живет и работает. Фото его черепа в начале статьи. Его вербальный IQ был равен 84, что вполне сравнимо, к примеру, с IQ президента США Джорджа Буша младшего, у которого он, как говорят, был равен 91. Клерк жил обычной жизнью: исправно ходил на службу, был женат и имел двоих детей. Если бы у него не возникли проблемы с ногой, то никто бы и не узнал, что в его голове большую часть «жилой площади» занимает не мозг, а спинномозговая жидкость (ликвор).
Я томографию черепа не делал, а вдруг и я спиной думаю? Толерантнее надо быть, господа, толерантнее… Для сравнения, на фото справа показан типичный человеческий мозг в тех же проекциях. Фото: Feuillet et al./The Lancet.
В 1980 году в журнале «Science», Роджер Левин опубликовал свою статью «Действительно ли вам нужен мозг?», в которой описал несколько случаев гидроцефалии из практики профессора педиатрии Шеффилдского университета Джона Лорбера.
В их числе и случай студента, который в середине 1960-х обратился к врачу с жалобой на недомогание. Врач отправил его к своему знакомому — профессору Лорберу. Сканирование черепа показало, что всё пространство черепной коробки студента занимали желудочки, заполненные ликвором. Нервная ткань его мозга представляла лишь тонкий слой в несколько миллиметров вокруг них. Тем не менее, этот студент не страдал какими-либо отклонениями в психике (его IQ был даже несколько выше нормы и составлял 126 – завидуйте, доктора). Он успешно учился (особенно преуспевал в математике) и даже с отличием окончил университет.
Кто его знает, может и я гидроцефал? Тем более, что у меня есть уверенность, что в моей родной Украине у власти всегда находятся гидроцефалы. Они позвоночником думают. Вот, в СССР, был Генплан, который всех замучивал пятилетними планами – а их ведь надо было выполнять, блин. Сейчас другое дело – у нас свобода. Генплана нет, сказал, что будет лучше наш президент, и живем. Что такое лучше для украинцев? Это когда в магазин за жратвой идти не надо – обглодал осинку, и сыт. Горько конечно, но бобры сдохнут, а у нас зубы будут крепче.
Господа, прошу вас, будьте толерантнее к нам, гидроцефалам. Ведь, без таких, как я – вам точно будет скучно! Вы ведь думаете, что мозгом думаете, а на самом деле – спиной. Чем больше прогибаешься, тем умнее на первый взгляд кажешься. Вот, беспозвоночные, это ниже Хомосапиенса, у них позвонка нет, а значит, и думать им нечем. Или вы головой думаете? И даже ночью, когда спите?
Комментарии
Комментарий удален модератором
персанаш, каторому ни панравилась ваша мысль, пишет админам в обратную связь так мол и так, есть тут гадина, враг народа и никакого толеранту у него нет.
а дальше черный воронок, допросы, пытки. все признают свои ашипки и раскаиваюца
и се
Я по этому поводу пожелание высказала о проверке состояний внутренних органов чиновников. А вдруг они принимают решения с подачи гнойновоспламенившейся печени?
насчет количества серо-белого вещества, глии, аксонов, дендритов мозга - тут всем известно, что на натуральную жизнь у нас работает всего 3-5% от мозга.
так что все в норме.
А вот - кто сожрал наш мозг и оставил там ликвор - вот это, пожалуй, вопрос на засыпку.